Loading...

perennity-visor

perennity-visor

RIS & MWL - PACS - IMPRESIÓN - VISUALIZACIÓN - GESTIÓN DE PACIENTES

.max-100 { max-width: 100%; } .max-30 { max-width: 30px; } .action-imagen { height: 25px; } .header-height { height:45px; } @media (min-width: 768px) { .header-height { height:80px; } } .header-container { background-color: #ffffff; } .children-menu { } .transparent:hover { background-color: #ffffff; } .transparent:hover .children-menu { } .header-menu { font-size: 14px } .btn-mv { color: #ffffff !important; background-color: #555555 !important; border-color: #555555 !important; font-size: 12px !important; } .btn-mv:hover { color: #ffffff !important; background-color: #555555 !important; border-color: #555555 !important; }
#pdx-single_image_1739728237 .container { max-width:100%; } @media(max-width: 768px) { #pdx-single_image_1739728237 .container { max-width:100%; } }
Imagen Imagen
PERENNITY MedDream
Sumérgete en una nueva era de imágenes médicas con el visor web sin huella MedDream.
 
Expertamente diseñada para radiólogos y otros profesionales de la salud, esta innovadora herramienta ofrece acceso universal a imágenes médicas, facilitando diagnósticos completos y eficientes.
 
MedDream se integra perfectamente con los productos y soluciones de PERENNITY y sus robustas características y funcionalidades de primer nivel redefinen tu experiencia en diagnósticos médicos.
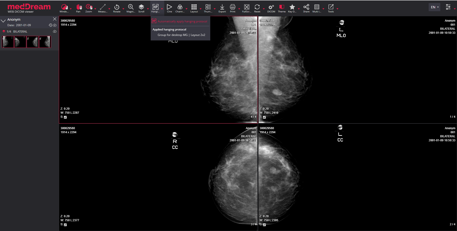
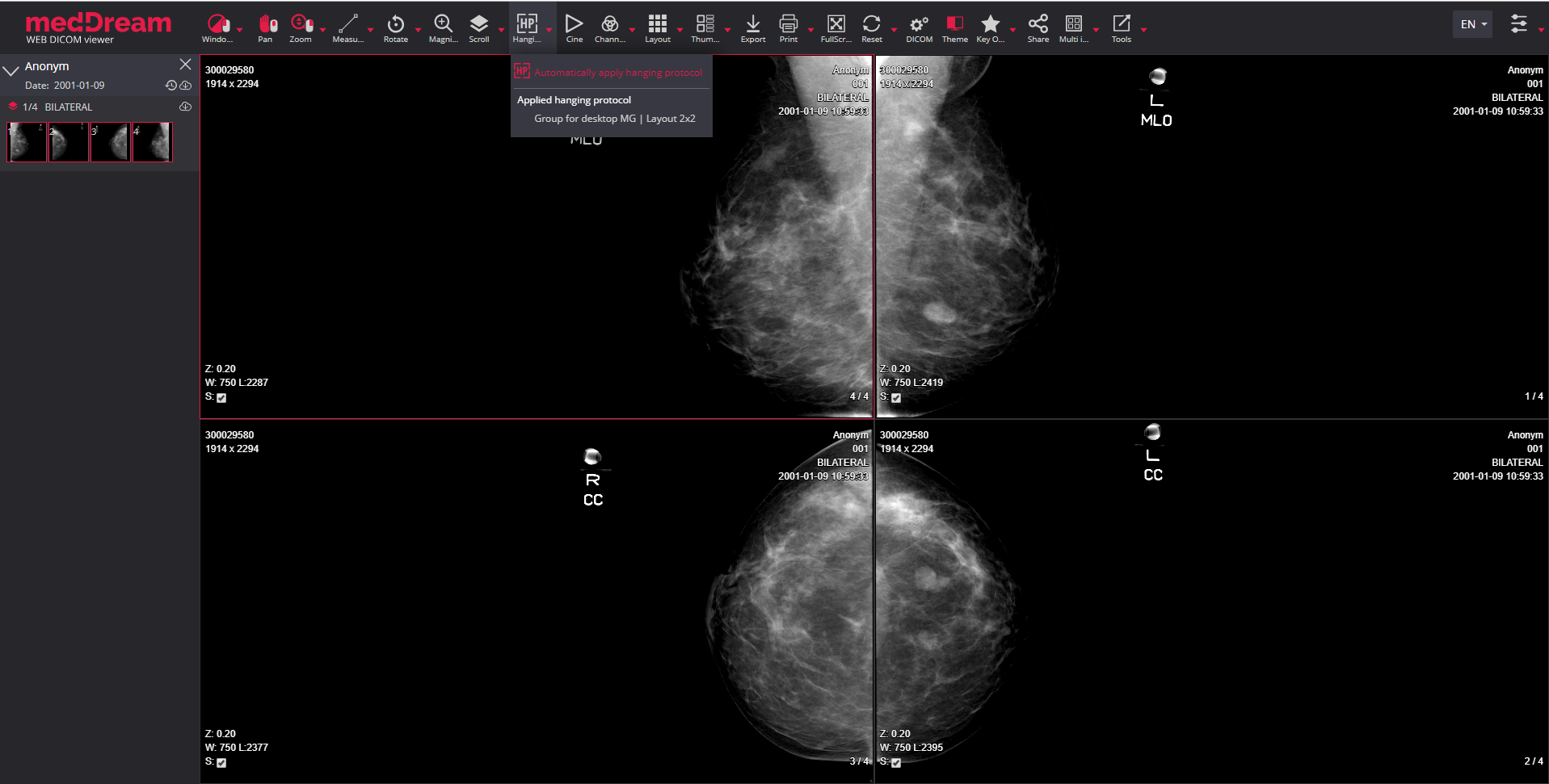
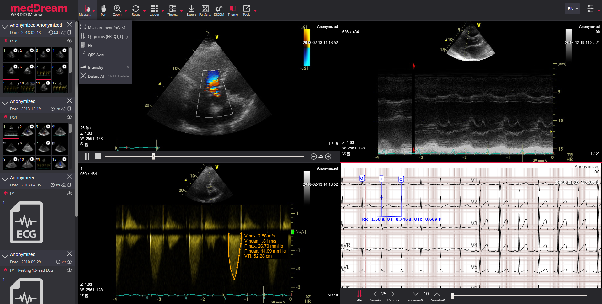
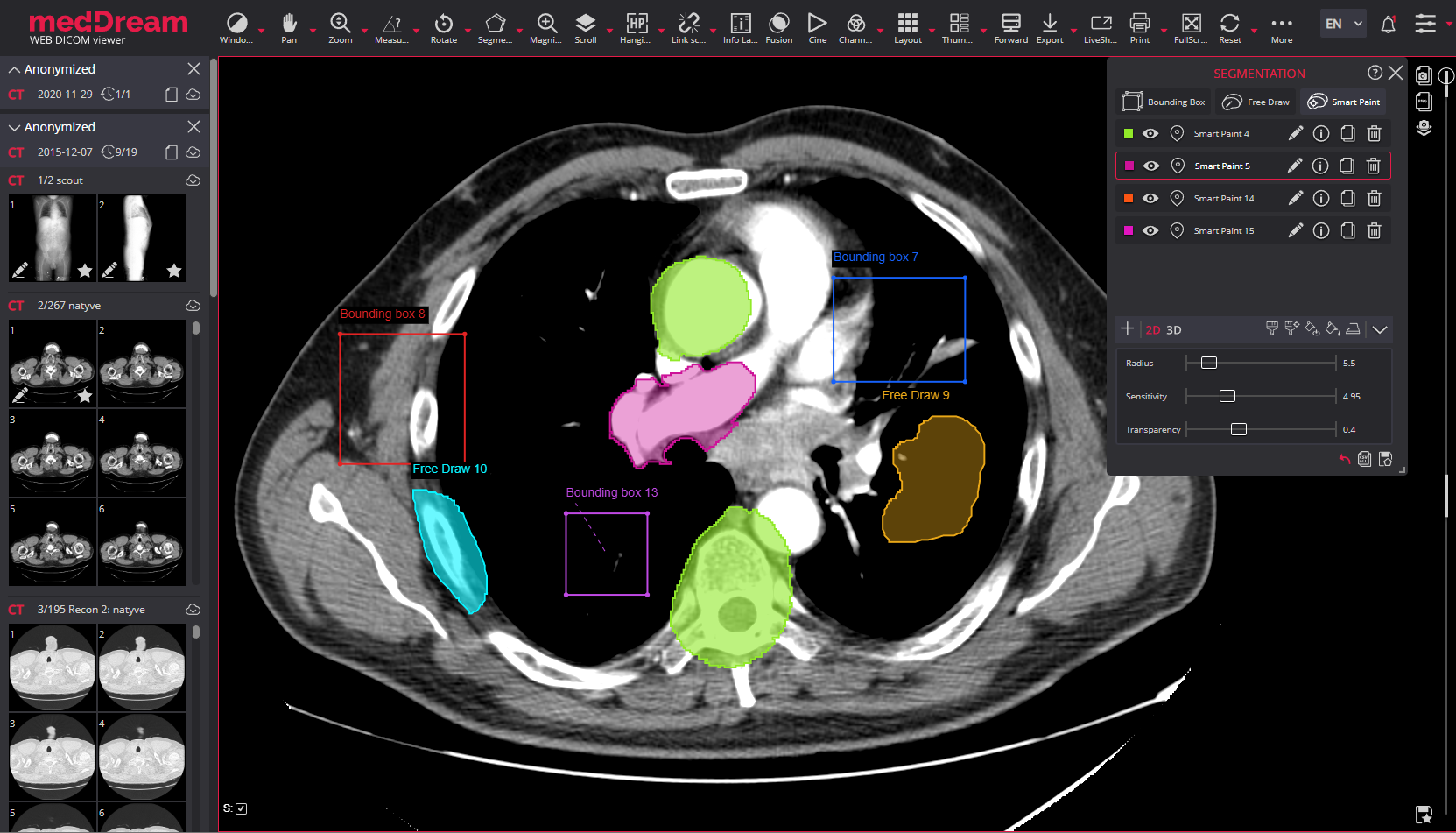
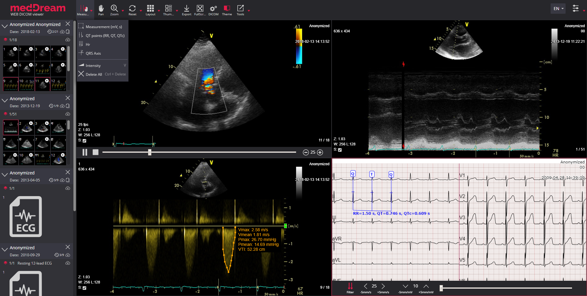
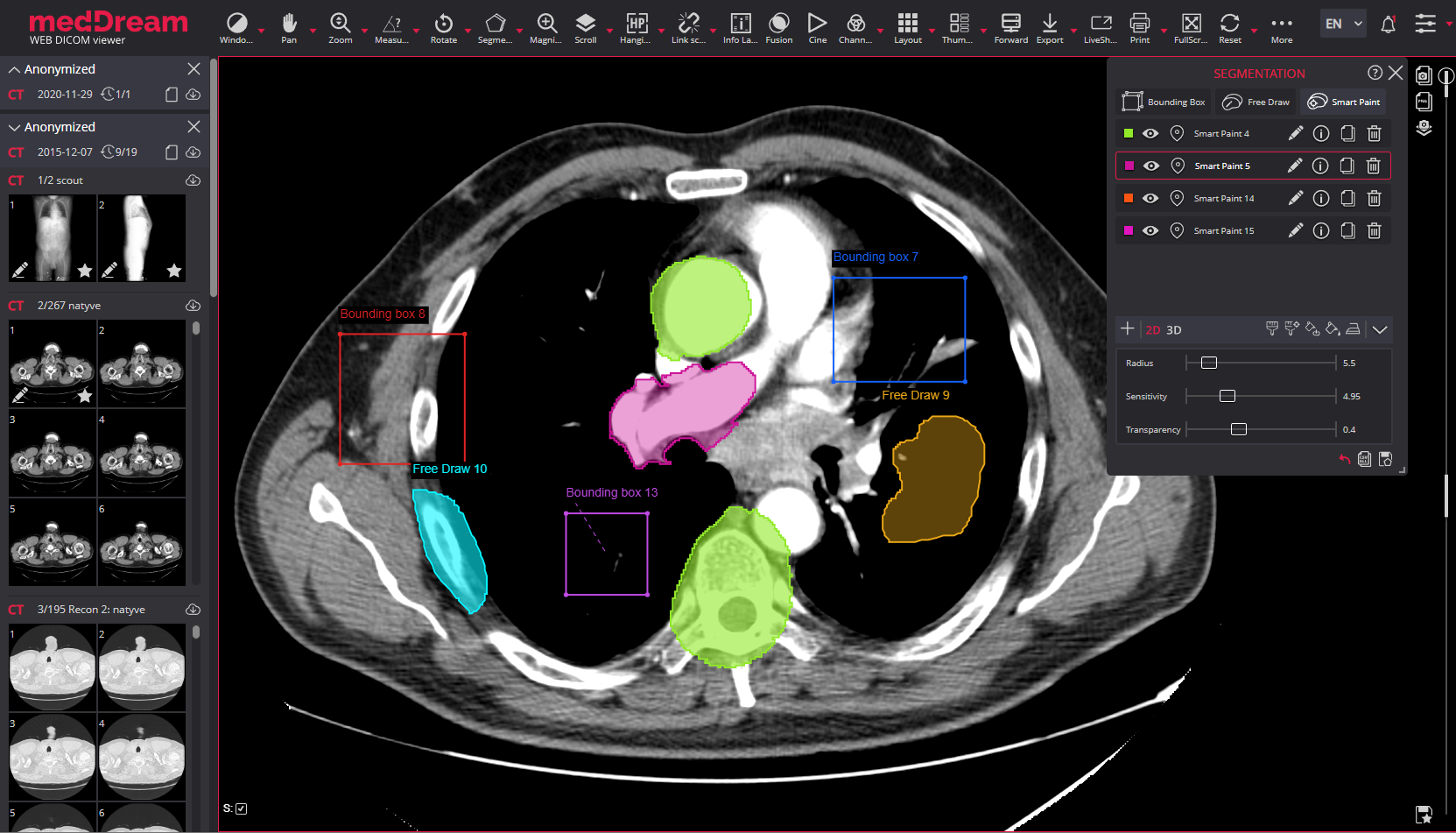
Visor diagnóstico completo y fácil de usar para imágenes médicas

MedDream es un visualizador web de diagnóstico de terceros, cero foot-print, y está dirigido a radiólogos y otros médicos especializados.

Es un visualizador muy fácil de usar y con todas las funciones, que se integra perfectamente en las soluciones de PERENNITY. Cuenta con la aprobación de la FDA y la certificación CE Clase IIb para diagnósticos (incluida la mamografía).

MedDream se ofrece como complemento de Perennity. Incluye muchas herramientas básicas y avanzadas, incluidas funciones MPR/MIP/3D, fusión PET (CT/MR/NM), compatibilidad con ECG y video, estados de presentación, objetos clave, informes básicos, etc.
 
La licencia se basa en la cantidad de usuarios simultáneos que utilicen el sistema.
#pdx-single_image_1739728667 .container { max-width:100%; } @media(max-width: 768px) { #pdx-single_image_1739728667 .container { max-width:100%; } }
Imagen Imagen
#pdx-single_image_1739729881 .container { max-width:100%; } @media(max-width: 768px) { #pdx-single_image_1739729881 .container { max-width:100%; } }
Imagen Imagen
Funcionalidad avanzada pero fácil de usar, cero huella, multiplataforma, responsivo (funciona en computadora de escritorio y móvil), certificado CE y FDA, multimodalidad (admite todo tipo de estudios).
 
Soporta Modalidades como:
 
Radiología (CR, DX, CT, MR, MG, US),
Cardiología (XA, US, ECG),
Oftalmología (XC, OP, SC),
Dermatología y otras (XC, OT, SC, SR, PDF), Cirugía (XC, OT, OP),
No-DICOM archivos (BMP, JPG, TIFF, MPEG, PDF, TXT).
 
.title-title_1739743889 { color:#ffffff!important; font-size:1em !important; font-family:Alexandria !important; } @media(min-width: 768px) { .title-title_1739743889 { font-size:1.7em !important; } }

Capturas de Pantalla

.section-color-slide_hero_new_1739742764 { background-color: #ffffff; } .background-video-slide_hero_new_1739742764 { width: 100%; height: 100%; object-fit: cover; position: fixed; left: 0; right: 0; top: 0; bottom: 0; z-index: -1; } .dots-slide_hero_new_1739742764 { width:10px; height:10px; background-color:#859aac!important; transition: background-color 0.5s; } .dots-slide_hero_new_1739742764.tns-nav-active, .dots-slide_hero_new_1739742764:hover { background-color:#b8bd12!important; } .arrows-slide_hero_new_1739742764 { color:#b8bd12!important; transition: color 0.5s; } .arrows-slide_hero_new_1739742764:hover { color:#555555!important; } .slider-height-slide_hero_new_1739742764 { min-height: 267px; } @media(min-width: 768px) { .slider-height-slide_hero_new_1739742764 { min-height: 609px; } }
.hero-banner-slide_hero_new_1739742764-1 { width: 100%; z-index: 1; } .title-slide_hero_new_1739742764-1 { color:#ffffff!important; font-size:2.7em !important; } .subtitle-slide_hero_new_1739742764-1 { font-size:1.7em !important; color:#ffffff!important; } .text-slide_hero_new_1739742764-1 { color:#ffffff!important; font-size:1em !important; } .btn-slide_hero_new_1739742764-1 { color: #ffffff !important; background-color: #bfbfbf !important; border-color: #bfbfbf !important; font-size:1em !important; } .btn-slide_hero_new_1739742764-1:hover { color: #ffffff !important; background-color: #bfbfbf !important; border-color: #bfbfbf !important; } .btnSec-slide_hero_new_1739742764-1 { color: #ffffff !important; background-color: #bfbfbf !important; border-color: #bfbfbf !important; font-size:1em !important; } .btnSec-slide_hero_new_1739742764-1:hover { color: #ffffff !important; background-color: #bfbfbf !important; border-color: #bfbfbf !important; } @media(min-width: 768px) { .hero-banner-slide_hero_new_1739742764-1 { width: 50%; } .title-slide_hero_new_1739742764-1 { font-size:2.7em !important; } .subtitle-slide_hero_new_1739742764-1 { font-size:1.7em !important; } .text-slide_hero_new_1739742764-1 { font-size:1em !important; } .btn-slide_hero_new_1739742764-1 { font-size:1em !important; } .btnSec-slide_hero_new_1739742764-1 { font-size:1em !important; } } hero-desk hero-mobile
.hero-banner-slide_hero_new_1739742764-2 { width: 100%; z-index: 1; } .title-slide_hero_new_1739742764-2 { color:#ffffff!important; font-size:2.7em !important; } .subtitle-slide_hero_new_1739742764-2 { font-size:1.7em !important; color:#ffffff!important; } .text-slide_hero_new_1739742764-2 { color:#ffffff!important; font-size:1em !important; } .btn-slide_hero_new_1739742764-2 { color: #ffffff !important; background-color: #bfbfbf !important; border-color: #bfbfbf !important; font-size:1em !important; } .btn-slide_hero_new_1739742764-2:hover { color: #ffffff !important; background-color: #bfbfbf !important; border-color: #bfbfbf !important; } .btnSec-slide_hero_new_1739742764-2 { color: #ffffff !important; background-color: #bfbfbf !important; border-color: #bfbfbf !important; font-size:1em !important; } .btnSec-slide_hero_new_1739742764-2:hover { color: #ffffff !important; background-color: #bfbfbf !important; border-color: #bfbfbf !important; } @media(min-width: 768px) { .hero-banner-slide_hero_new_1739742764-2 { width: 50%; } .title-slide_hero_new_1739742764-2 { font-size:2.7em !important; } .subtitle-slide_hero_new_1739742764-2 { font-size:1.7em !important; } .text-slide_hero_new_1739742764-2 { font-size:1em !important; } .btn-slide_hero_new_1739742764-2 { font-size:1em !important; } .btnSec-slide_hero_new_1739742764-2 { font-size:1em !important; } } hero-desk hero-mobile
.hero-banner-slide_hero_new_1739742764-3 { width: 100%; z-index: 1; } .title-slide_hero_new_1739742764-3 { color:#ffffff!important; font-size:2.7em !important; } .subtitle-slide_hero_new_1739742764-3 { font-size:1.7em !important; color:#ffffff!important; } .text-slide_hero_new_1739742764-3 { color:#ffffff!important; font-size:1em !important; } .btn-slide_hero_new_1739742764-3 { color: #ffffff !important; background-color: #bfbfbf !important; border-color: #bfbfbf !important; font-size:1em !important; } .btn-slide_hero_new_1739742764-3:hover { color: #ffffff !important; background-color: #bfbfbf !important; border-color: #bfbfbf !important; } .btnSec-slide_hero_new_1739742764-3 { color: #ffffff !important; background-color: #bfbfbf !important; border-color: #bfbfbf !important; font-size:1em !important; } .btnSec-slide_hero_new_1739742764-3:hover { color: #ffffff !important; background-color: #bfbfbf !important; border-color: #bfbfbf !important; } @media(min-width: 768px) { .hero-banner-slide_hero_new_1739742764-3 { width: 50%; } .title-slide_hero_new_1739742764-3 { font-size:2.7em !important; } .subtitle-slide_hero_new_1739742764-3 { font-size:1.7em !important; } .text-slide_hero_new_1739742764-3 { font-size:1em !important; } .btn-slide_hero_new_1739742764-3 { font-size:1em !important; } .btnSec-slide_hero_new_1739742764-3 { font-size:1em !important; } } hero-desk hero-mobile
.hero-banner-slide_hero_new_1739742764-4 { width: 100%; z-index: 1; } .title-slide_hero_new_1739742764-4 { color:#ffffff!important; font-size:2.7em !important; } .subtitle-slide_hero_new_1739742764-4 { font-size:1.7em !important; color:#ffffff!important; } .text-slide_hero_new_1739742764-4 { color:#ffffff!important; font-size:1em !important; } .btn-slide_hero_new_1739742764-4 { color: #ffffff !important; background-color: #bfbfbf !important; border-color: #bfbfbf !important; font-size:1em !important; } .btn-slide_hero_new_1739742764-4:hover { color: #ffffff !important; background-color: #bfbfbf !important; border-color: #bfbfbf !important; } .btnSec-slide_hero_new_1739742764-4 { color: #ffffff !important; background-color: #bfbfbf !important; border-color: #bfbfbf !important; font-size:1em !important; } .btnSec-slide_hero_new_1739742764-4:hover { color: #ffffff !important; background-color: #bfbfbf !important; border-color: #bfbfbf !important; } @media(min-width: 768px) { .hero-banner-slide_hero_new_1739742764-4 { width: 50%; } .title-slide_hero_new_1739742764-4 { font-size:2.7em !important; } .subtitle-slide_hero_new_1739742764-4 { font-size:1.7em !important; } .text-slide_hero_new_1739742764-4 { font-size:1em !important; } .btn-slide_hero_new_1739742764-4 { font-size:1em !important; } .btnSec-slide_hero_new_1739742764-4 { font-size:1em !important; } } hero-desk hero-mobile
.hero-banner-slide_hero_new_1739742764-5 { width: 100%; z-index: 1; } .title-slide_hero_new_1739742764-5 { color:#ffffff!important; font-size:2.7em !important; } .subtitle-slide_hero_new_1739742764-5 { font-size:1.7em !important; color:#ffffff!important; } .text-slide_hero_new_1739742764-5 { color:#ffffff!important; font-size:1em !important; } .btn-slide_hero_new_1739742764-5 { color: #ffffff !important; background-color: #bfbfbf !important; border-color: #bfbfbf !important; font-size:1em !important; } .btn-slide_hero_new_1739742764-5:hover { color: #ffffff !important; background-color: #bfbfbf !important; border-color: #bfbfbf !important; } .btnSec-slide_hero_new_1739742764-5 { color: #ffffff !important; background-color: #bfbfbf !important; border-color: #bfbfbf !important; font-size:1em !important; } .btnSec-slide_hero_new_1739742764-5:hover { color: #ffffff !important; background-color: #bfbfbf !important; border-color: #bfbfbf !important; } @media(min-width: 768px) { .hero-banner-slide_hero_new_1739742764-5 { width: 50%; } .title-slide_hero_new_1739742764-5 { font-size:2.7em !important; } .subtitle-slide_hero_new_1739742764-5 { font-size:1.7em !important; } .text-slide_hero_new_1739742764-5 { font-size:1em !important; } .btn-slide_hero_new_1739742764-5 { font-size:1em !important; } .btnSec-slide_hero_new_1739742764-5 { font-size:1em !important; } } hero-desk hero-mobile
.hero-banner-slide_hero_new_1739742764-6 { width: 100%; z-index: 1; } .title-slide_hero_new_1739742764-6 { color:#ffffff!important; font-size:2.7em !important; } .subtitle-slide_hero_new_1739742764-6 { font-size:1.7em !important; color:#ffffff!important; } .text-slide_hero_new_1739742764-6 { color:#ffffff!important; font-size:1em !important; } .btn-slide_hero_new_1739742764-6 { color: #ffffff !important; background-color: #bfbfbf !important; border-color: #bfbfbf !important; font-size:1em !important; } .btn-slide_hero_new_1739742764-6:hover { color: #ffffff !important; background-color: #bfbfbf !important; border-color: #bfbfbf !important; } .btnSec-slide_hero_new_1739742764-6 { color: #ffffff !important; background-color: #bfbfbf !important; border-color: #bfbfbf !important; font-size:1em !important; } .btnSec-slide_hero_new_1739742764-6:hover { color: #ffffff !important; background-color: #bfbfbf !important; border-color: #bfbfbf !important; } @media(min-width: 768px) { .hero-banner-slide_hero_new_1739742764-6 { width: 50%; } .title-slide_hero_new_1739742764-6 { font-size:2.7em !important; } .subtitle-slide_hero_new_1739742764-6 { font-size:1.7em !important; } .text-slide_hero_new_1739742764-6 { font-size:1em !important; } .btn-slide_hero_new_1739742764-6 { font-size:1em !important; } .btnSec-slide_hero_new_1739742764-6 { font-size:1em !important; } } hero-desk hero-mobile
.hero-banner-slide_hero_new_1739742764-7 { width: 100%; z-index: 1; } .title-slide_hero_new_1739742764-7 { color:#ffffff!important; font-size:2.7em !important; } .subtitle-slide_hero_new_1739742764-7 { font-size:1.7em !important; color:#ffffff!important; } .text-slide_hero_new_1739742764-7 { color:#ffffff!important; font-size:1em !important; } .btn-slide_hero_new_1739742764-7 { color: #ffffff !important; background-color: #bfbfbf !important; border-color: #bfbfbf !important; font-size:1em !important; } .btn-slide_hero_new_1739742764-7:hover { color: #ffffff !important; background-color: #bfbfbf !important; border-color: #bfbfbf !important; } .btnSec-slide_hero_new_1739742764-7 { color: #ffffff !important; background-color: #bfbfbf !important; border-color: #bfbfbf !important; font-size:1em !important; } .btnSec-slide_hero_new_1739742764-7:hover { color: #ffffff !important; background-color: #bfbfbf !important; border-color: #bfbfbf !important; } @media(min-width: 768px) { .hero-banner-slide_hero_new_1739742764-7 { width: 50%; } .title-slide_hero_new_1739742764-7 { font-size:2.7em !important; } .subtitle-slide_hero_new_1739742764-7 { font-size:1.7em !important; } .text-slide_hero_new_1739742764-7 { font-size:1em !important; } .btn-slide_hero_new_1739742764-7 { font-size:1em !important; } .btnSec-slide_hero_new_1739742764-7 { font-size:1em !important; } } hero-desk hero-mobile
.hero-banner-slide_hero_new_1739742764-8 { width: 100%; z-index: 1; } .title-slide_hero_new_1739742764-8 { color:#ffffff!important; font-size:2.7em !important; } .subtitle-slide_hero_new_1739742764-8 { font-size:1.7em !important; color:#ffffff!important; } .text-slide_hero_new_1739742764-8 { color:#ffffff!important; font-size:1em !important; } .btn-slide_hero_new_1739742764-8 { color: #ffffff !important; background-color: #bfbfbf !important; border-color: #bfbfbf !important; font-size:1em !important; } .btn-slide_hero_new_1739742764-8:hover { color: #ffffff !important; background-color: #bfbfbf !important; border-color: #bfbfbf !important; } .btnSec-slide_hero_new_1739742764-8 { color: #ffffff !important; background-color: #bfbfbf !important; border-color: #bfbfbf !important; font-size:1em !important; } .btnSec-slide_hero_new_1739742764-8:hover { color: #ffffff !important; background-color: #bfbfbf !important; border-color: #bfbfbf !important; } @media(min-width: 768px) { .hero-banner-slide_hero_new_1739742764-8 { width: 50%; } .title-slide_hero_new_1739742764-8 { font-size:2.7em !important; } .subtitle-slide_hero_new_1739742764-8 { font-size:1.7em !important; } .text-slide_hero_new_1739742764-8 { font-size:1em !important; } .btn-slide_hero_new_1739742764-8 { font-size:1em !important; } .btnSec-slide_hero_new_1739742764-8 { font-size:1em !important; } } hero-desk hero-mobile
.hero-banner-slide_hero_new_1739742764-9 { width: 100%; z-index: 1; } .title-slide_hero_new_1739742764-9 { color:#ffffff!important; font-size:2.7em !important; } .subtitle-slide_hero_new_1739742764-9 { font-size:1.7em !important; color:#ffffff!important; } .text-slide_hero_new_1739742764-9 { color:#ffffff!important; font-size:1em !important; } .btn-slide_hero_new_1739742764-9 { color: #ffffff !important; background-color: #bfbfbf !important; border-color: #bfbfbf !important; font-size:1em !important; } .btn-slide_hero_new_1739742764-9:hover { color: #ffffff !important; background-color: #bfbfbf !important; border-color: #bfbfbf !important; } .btnSec-slide_hero_new_1739742764-9 { color: #ffffff !important; background-color: #bfbfbf !important; border-color: #bfbfbf !important; font-size:1em !important; } .btnSec-slide_hero_new_1739742764-9:hover { color: #ffffff !important; background-color: #bfbfbf !important; border-color: #bfbfbf !important; } @media(min-width: 768px) { .hero-banner-slide_hero_new_1739742764-9 { width: 50%; } .title-slide_hero_new_1739742764-9 { font-size:2.7em !important; } .subtitle-slide_hero_new_1739742764-9 { font-size:1.7em !important; } .text-slide_hero_new_1739742764-9 { font-size:1em !important; } .btn-slide_hero_new_1739742764-9 { font-size:1em !important; } .btnSec-slide_hero_new_1739742764-9 { font-size:1em !important; } } hero-desk hero-mobile
.hero-banner-slide_hero_new_1739742764-10 { width: 100%; z-index: 1; } .title-slide_hero_new_1739742764-10 { color:#ffffff!important; font-size:2.7em !important; } .subtitle-slide_hero_new_1739742764-10 { font-size:1.7em !important; color:#ffffff!important; } .text-slide_hero_new_1739742764-10 { color:#ffffff!important; font-size:1em !important; } .btn-slide_hero_new_1739742764-10 { color: #ffffff !important; background-color: #bfbfbf !important; border-color: #bfbfbf !important; font-size:1em !important; } .btn-slide_hero_new_1739742764-10:hover { color: #ffffff !important; background-color: #bfbfbf !important; border-color: #bfbfbf !important; } .btnSec-slide_hero_new_1739742764-10 { color: #ffffff !important; background-color: #bfbfbf !important; border-color: #bfbfbf !important; font-size:1em !important; } .btnSec-slide_hero_new_1739742764-10:hover { color: #ffffff !important; background-color: #bfbfbf !important; border-color: #bfbfbf !important; } @media(min-width: 768px) { .hero-banner-slide_hero_new_1739742764-10 { width: 50%; } .title-slide_hero_new_1739742764-10 { font-size:2.7em !important; } .subtitle-slide_hero_new_1739742764-10 { font-size:1.7em !important; } .text-slide_hero_new_1739742764-10 { font-size:1em !important; } .btn-slide_hero_new_1739742764-10 { font-size:1em !important; } .btnSec-slide_hero_new_1739742764-10 { font-size:1em !important; } } hero-desk hero-mobile
.footer-titles { font-size:1em !important; } .footer-links { color:#000000 !important; font-size:1em !important; } @media(min-width: 768px) { .footer-titles { font-size:1em !important; } .footer-links { color:#000000 !important; } }